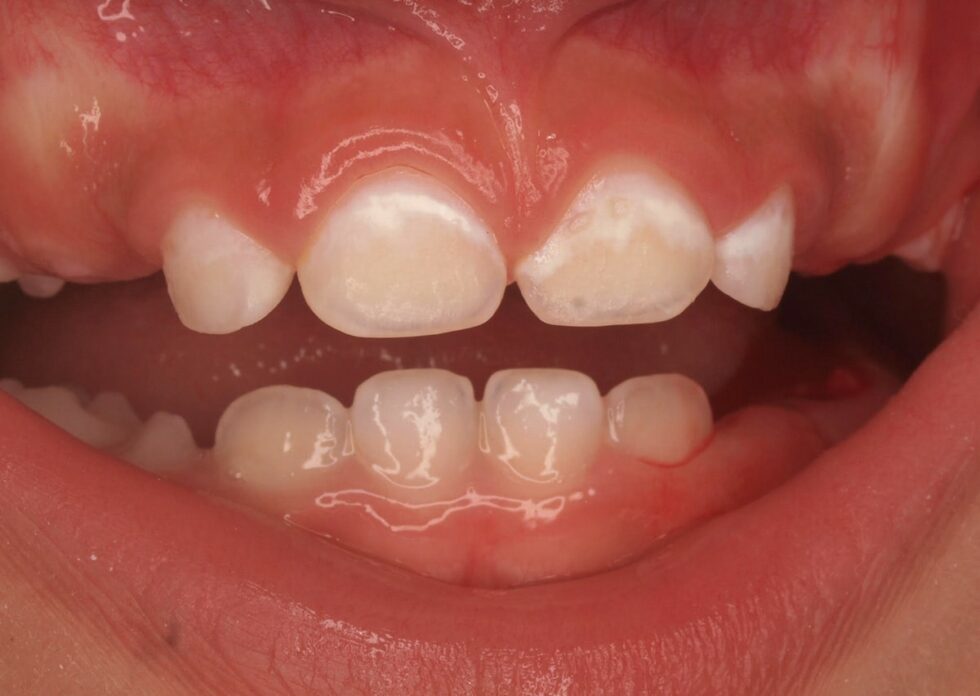
Servidora, que con cinco hijos ya se cree que lo ha visto todo, se quedó ojiplática al saber que Naoki (el quinto y último de mis bebés, que en aquel entonces tendría 18 meses o cerca de 2 años) estaba desarrollando una caries “de las chungas”: de las que...
Esta web utiliza cookies para su correcto funcionamiento. Haciendo clic en el botón Aceptar, aceptas el uso de estas tecnologías y el procesamiento de tus datos.
Configurar y más información
Privacidad
¿Tienes prisa? ¡Hablemos por whatsapp!
¿Seré tu fotógrafa? Solo hay una manera de averiguarlo: ¡hablemos! 🤟🏻